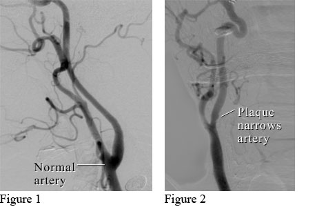
Angiogram of the carotid artery

Angiograms of a normal neck artery and a neck artery narrowed by plaque

Courtesy of Intermountain Medical Imaging, Boise, Idaho.

Figure 1 shows an angiogram (a type of X-ray) of a normal neck artery (carotid artery) with smooth walls. Figure 2 shows a carotid artery that is narrowed by a substance called plaque that builds up in the artery.

Current as of: October 2, 2025

Author: Ignite Healthwise, LLC Staff
Clinical Review Board
All Ignite Healthwise, LLC education is reviewed by a team that includes physicians, nurses, advanced practitioners, registered dieticians, and other healthcare professionals.

Current as of: October 2, 2025

Author: Ignite Healthwise, LLC Staff

Clinical Review Board
All Ignite Healthwise, LLC education is reviewed by a team that includes physicians, nurses, advanced practitioners, registered dieticians, and other healthcare professionals.